Gum Contouring Surgery

Trusted Medical Reference Websites

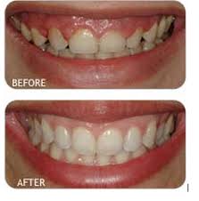
Gum Contouring Surgery. Gum contouring is a procedure done by a dental specialist that reshapes or resculpts your gumline. Reshaping the gum is contoured to the teeth for an optimal cosmetic result.

A Guide To Gum Contouring Surgery Dentist Clinic Gum Surgery
A Guide To Gum Contouring Surgery Dentist Clinic Gum Surgery from in.pinterest.com

Consume soft foods gently clean teeth and gums with a soft bristle toothbrush use non aspirin pain relievers do not eat spicy foods or those containing seeds. The beauty of it is that the laser naturally seals up the wounds as it cuts away the gums. Below is a list of suggestions for properly caring for your gums after undergoing gum reshaping surgery.

Consume soft foods gently clean teeth and gums with a soft bristle toothbrush use non aspirin pain relievers do not eat spicy foods or those containing seeds.

How and when it might be performed depends on several factors. How and when it might be performed depends on several factors. If your gums rest too low or too high on your teeth and you are unhappy with your smile you may be a candidate for gum contouring surgery. Consume soft foods gently clean teeth and gums with a soft bristle toothbrush use non aspirin pain relievers do not eat spicy foods or those containing seeds.