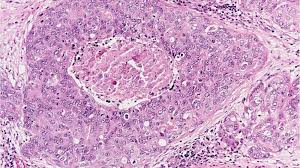
Is Dcis Cancer Or Precancer

Trusted Medical Reference Websites

Is Dcis Cancer Or Precancer.

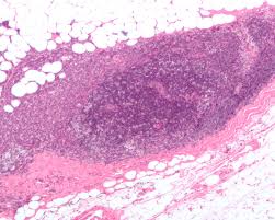
Types Of Breast Cancer Breast Pathology Johns Hopkins Pathology
Types Of Breast Cancer Breast Pathology Johns Hopkins Pathology from pathology.jhu.edu